Cuando hablamos de salud bucal, no solo pensamos en tener dientes blancos, sino también en unas encías sanas y fuertes que los sostengan bien. A veces, una limpieza dental normal no basta para tratar problemas que afectan a las encías y al tejido que sujeta los dientes. En esos casos se necesita una limpieza periodontal, un tratamiento más profundo y especializado que va mucho más allá de una limpieza convencional.

¿Qué es la limpieza periodontal y cuándo se necesita?
La limpieza periodontal, también llamada raspado y alisado radicular o curetaje dental, es un procedimiento odontológico diseñado para tratar la enfermedad periodontal. Esta enfermedad aparece cuando se acumulan bacterias que inflaman y dañan los tejidos que rodean y sujetan los dientes.
Se trata de un tratamiento correctivo, no preventivo. Se aplica cuando ya existe una enfermedad periodontal diagnosticada. Está indicada para pacientes con periodontitis, una inflamación de los tejidos de soporte del diente que, si no se trata, puede provocar pérdida de hueso y finalmente la caída de las piezas dentales.
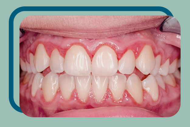
Los signos que pueden indicar que necesitas una limpieza periodontal son:
- Sangrado al cepillarte o usar hilo dental
- Encías inflamadas o enrojecidas
- Retracción de encías (los dientes parecen más largos)
- Movilidad dental
- Mal aliento constante
- Sensibilidad aumentada
Estos síntomas aparecen porque las bacterias han llegado al espacio entre la encía y el diente, formando bolsas periodontales, es decir, huecos de más de 3 mm donde las bacterias se acumulan y se multiplican.
Diferencias entre limpieza dental y limpieza periodontal
A diferencia de la limpieza dental general —que actúa solo sobre la parte visible del diente, por encima de la encía—, la limpieza periodontal llega a la zona más profunda, debajo de la encía, eliminando bacterias, placa y sarro acumulados alrededor de las raíces dentales.
Ambos tratamientos eliminan placa y sarro, pero con objetivos distintos:
- La limpieza dental o profilaxis es preventiva y se realiza cada 6–12 meses en personas con encías sanas. Utiliza instrumentos de ultrasonido y manuales para limpiar solo la superficie visible del diente, eliminando manchas de comida, bebida o tabaco. Dura unos 30–40 minutos y no suele causar molestias.
- La limpieza periodontal, en cambio, es terapéutica. Se realiza cuando ya hay enfermedad periodontal. Actúa debajo de la encía, en las zonas donde se forman las bolsas periodontales (más de 3–4 mm). Se aplica anestesia local para evitar molestias, ya que los instrumentos llegan hasta las raíces. Normalmente se hace por partes (cuadrantes) y puede requerir varias citas.
La limpieza básica previene enfermedades, mientras que la periodontal trata una enfermedad existente, eliminando bacterias y ayudando a que la encía vuelva a adherirse a la raíz del diente.
Cómo se realiza la limpieza periodontal
El tratamiento sigue un protocolo específico para garantizar eficacia y comodidad:
- Estudio inicial: se realiza un examen periodontal completo, midiendo con una sonda la profundidad de las bolsas alrededor de cada diente (en seis puntos por diente). Esto permite saber el estado de las encías.
- Anestesia local: se aplica en la zona a tratar, normalmente trabajando por cuadrantes. Si hay infección o supuración, puede ser necesario un antibiótico previo.
- Raspado: el especialista usa instrumentos llamados curetas, diseñados para llegar al espacio entre la encía y el diente, y eliminar toda la placa y el sarro acumulados.
- Alisado radicular: después, se pulen las raíces para dejarlas lisas. Esto evita que las bacterias se vuelvan a adherir fácilmente y ayuda a que la encía se recoloque y cicatrice.
El tiempo del tratamiento depende del caso: los más leves pueden resolverse en 30–45 minutos, pero los avanzados pueden durar más de dos horas repartidas en varias sesiones.
Por qué los pacientes con periodontitis necesitan limpiezas especiales
La periodontitis es una enfermedad crónica e infecciosa que no se cura completamente, pero puede controlarse con el tratamiento adecuado.
Las bacterias que la provocan forman biofilms, estructuras muy resistentes que se esconden en las bolsas periodontales, a las que no se puede llegar con el cepillo ni con el hilo dental, incluso con una buena higiene. Por eso, las personas con periodontitis necesitan limpiezas profesionales más frecuentes y profundas para mantener la enfermedad bajo control.
Además, la periodontitis no afecta solo a la boca. Diversos estudios han demostrado su relación con enfermedades generales, como:
- Problemas cardiovasculares (infartos o ictus)
- Diabetes
- Enfermedades respiratorias
- Complicaciones en el embarazo (parto prematuro o bajo peso)
Esto ocurre porque las bacterias pueden pasar al torrente sanguíneo a través de las encías inflamadas y provocar inflamación en todo el cuerpo.
Por tanto, tratar la periodontitis no solo protege la boca, sino también la salud general.
Mantenimiento periodontal: la clave para mantener los resultados
Tras realizar el raspado y alisado radicular, el paciente debe seguir un programa de mantenimiento periodontal de por vida.
Este mantenimiento es fundamental para evitar que la enfermedad reaparezca.
Durante estas visitas periódicas, el dentista:
- Limpia la placa y el sarro que se acumulan de nuevo en las bolsas periodontales.
- Mide de nuevo la profundidad de las encías.
- Realiza raspados selectivos si detecta inflamación o aumento de profundidad.
La frecuencia depende del caso:
- Cada 6 meses para periodontitis leve.
- Cada 3–4 meses para casos moderados o graves.
- Controles más frecuentes si hay factores de riesgo (diabetes, tabaco, genética…).
Sin este mantenimiento, la enfermedad puede reactivarse y perderse el progreso logrado.
Limpieza periodontal en Alicante
En Clínica Dental Novodent, contamos con un equipo especializado en periodoncia en Alicante, formado por profesionales que se mantienen al día en las técnicas más avanzadas. Si notas sangrado, encías inflamadas, movilidad dental o mal aliento persistente, pide una valoración periodontal cuanto antes. Detectar el problema a tiempo puede evitar tratamientos más complejos en el futuro.
Clínica Dental Novodent – Odontología integrativa en Alicante
Av. Conde de Lumiares, 19, 03010 Alicante

