La odontología contemporánea ha derribado el mito de que la enfermedad periodontal es una contraindicación absoluta para la alineación dental. Hoy en día, la combinación de periodoncia y ortodoncia no solo es posible, sino que a menudo es la única vía para garantizar la supervivencia de las piezas dentales a largo plazo.
Sin embargo, mover dientes en un periodonto reducido (con menos hueso de soporte) requiere una precisión quirúrgica y un control bacteriano estricto. En Novodent, abordamos estos casos bajo protocolos de seguridad máxima.

El desafío biológico: ¿Qué ocurre al mover un diente con periodontitis?
El movimiento ortodóntico se basa en un proceso de inflamación controlada donde el hueso se reabsorbe en un lado del diente y se forma en el otro. Si existe una periodontitis activa, las bacterias presentes en las bolsas periodontales se introducen en este proceso inflamatorio, acelerando la destrucción ósea de forma irreversible.
Por ello, antes de considerar cualquier sistema de alineación, es imperativo realizar un estudio en nuestra unidad de periodoncia en Alicante. Si no hay inflamación, el diente se mueve con seguridad, incluso si ha perdido el 50% de su soporte original.
Protocolo de Saneamiento: El paso previo innegociable
Ningún tratamiento de ortodoncia comienza sin el alta periodontal. Este saneamiento se divide en tres niveles de actuación:
- Eliminación del biofilm subgingival: Mediante una limpieza periodontal avanzada (raspados y alisados radiculares), eliminamos los depósitos de sarro que actúan como reservorio bacteriano.
- Control de bolsas residuales: Si tras la limpieza persisten bolsas de más de 4-5 mm, realizamos cirugías de acceso o técnicas regenerativas para asegurar que el terreno esté biológicamente inerte.
- Monitorización de la movilidad: Es vital distinguir entre la movilidad fisiológica (por falta de hueso) y la movilidad patológica (por infección). Solo la primera es compatible con los brackets o alineadores.
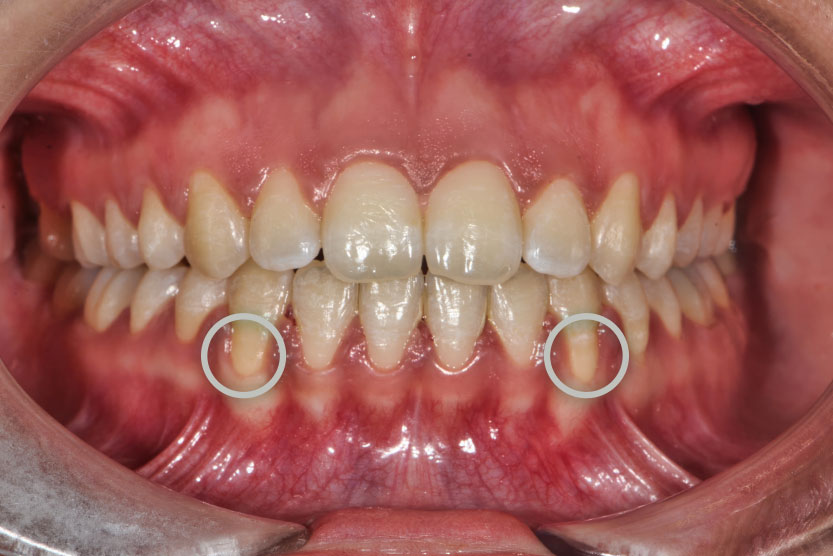
Periodontitis: El «Antes y Después» del soporte óseo
El éxito terapéutico se mide en la estabilización del nivel óseo y la recuperación de la arquitectura de la encía.
- Periodontitis antes y después (fase clínica): En la fase inicial, el paciente presenta inflamación gingival, sangrado, posible supuración y mal aliento. Tras el tratamiento periodontal, la encía se adapta de forma más estable a la raíz dental, puede apreciarse mayor exposición del diente, pero se recupera la salud de los tejidos y se elimina la infección activa.Periodontitis avanzada antes y después
- Fase ortodóntica:
En casos de pérdida ósea severa es frecuente observar migración patológica, con dientes desplazados y abiertos en abanico. La ortodoncia permite reposicionarlos correctamente, de modo que las fuerzas masticatorias se transmitan de forma más vertical y alineada con el eje del diente, reduciendo el trauma mecánico y contribuyendo a frenar la progresión de la pérdida ósea.
¿Se puede salvar un diente con periodontitis?
La respuesta técnica es: depende de la cresta ósea. Si conservamos al menos un tercio de la raíz anclada en hueso sano y libre de infección, el diente es funcionalmente salvable y puede integrarse en un plan de ortodoncia.
Biomecánica específica para periodontos reducidos
Mover un diente con poco hueso no es igual que mover uno sano. En la ortodoncia en adultos con antecedentes periodontales, aplicamos principios de física dental avanzada:
- Fuerzas ligeras: Se utilizan arcos de baja memoria o alineadores que ejercen presiones suaves. Una presión excesiva en un diente con poco soporte podría colapsar los vasos sanguíneos del ligamento periodontal, provocando necrosis o pérdida de la pieza.
- Centro de resistencia desplazado: Al haber menos hueso, el punto de apoyo del diente cambia. El ortodoncista debe recalcular los vectores de fuerza para evitar el efecto «palanca» que podría expulsar el diente del alveolo.
- Control del trauma oclusal: Es fundamental que, durante el movimiento, los dientes no choquen de forma traumática entre sí, ya que el impacto directo es el principal enemigo del hueso debilitado.
Ortodoncia Invisible: La mejor opción para el paciente periodontal
Aunque los brackets son eficaces, la ortodoncia invisible (alineadores transparentes) ha revolucionado el tratamiento en pacientes con problemas de encías por tres razones técnicas:
- Higiene superior: El paciente retira el aparato para realizar su higiene interproximal, algo crítico para evitar la reactivación de la periodontitis.
- Planificación digital: Podemos predecir con exactitud cuánta fuerza recibirá cada diente, evitando movimientos innecesarios.
- Ferulización: El propio alineador actúa como una férula que estabiliza los dientes con ligera movilidad durante el tratamiento.
La retención post-ortodoncia: Un compromiso de por vida
En un paciente sano, la retención (el cable interno tras la ortodoncia) es importante. En un paciente con periodontitis, es vital.
Debido a que el soporte óseo es menor, los dientes tienen una memoria elástica mayor y tienden a volver a su posición defectuosa con facilidad. Por ello, en Novodent implementamos un protocolo de doble retención: una barra de ferulización fija de colmillo a colmillo y fundas nocturnas de alta resistencia. Esto asegura que el hueso se remineralice en la nueva posición sin interferencias.
Mantenimiento y vigilancia de recidivas
La periodontitis es una enfermedad crónica, similar a la diabetes; no se cura, se controla. Un paciente bajo tratamiento ortodóntico debe someterse a:
- Sondajes periodontales trimestrales: Para detectar si el movimiento dental está abriendo nuevas bolsas.
- Control de placa bacteriana: Si el índice de placa supera el 20%, el tratamiento de ortodoncia debe pausarse hasta recuperar la higiene.
- Radiografías de control: Para verificar que la altura del hueso se mantiene estable durante el desplazamiento dental.
La periodontitis no es el fin de tu estética dental, pero sí exige un cambio de paradigma: la salud de la encía manda sobre el movimiento del diente. En Novodent, unimos la experiencia en periodoncia con la tecnología ortodóntica más avanzada para ofrecer soluciones a casos que otros consideran imposibles.
¿Te han denegado la ortodoncia por falta de hueso o inflamación? Es hora de un diagnóstico especializado.



